Caso clínico disponível aqui ([link](https://journals.lww.com/kidney360/fulltext/2023/08000/abnormal_ct_scan_in_a_patient_with_hematuria.27.aspx)).
Homem de 31 anos encaminhado pelo gastroenterologista, que o acompanhava devido à colecistite, devido a achados anormais em TC de abdome. Também apresentava quadro de hematúria microscópica, mas sem dor no flanco ou quadro de nefrolitíase.
Os resultados laboratoriais mostraram:
Creatinina sérica de 0,9 mg/dL, ácido úrico de 5,7 mg/dL, sódio de 140 mEq/L, potássio de 3,8 mEq/L, cloreto de 104 mEq/L, cálcio de 9,8 mg/dL e fósforo de 2,5 mg/dL, sem anormalidades ácido-base.
O exame de urina não apresentou proteinúria, mas foi compatível com hematúria não glomerular e piúria estéril.
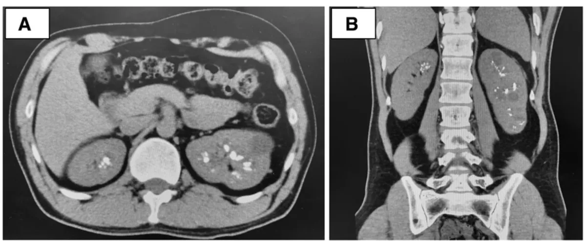
Os achados da TC sem contraste revelaram rins aumentados de tamanho, múltiplos cistos renais e nefrocalcinose (Figura 1).
Os achados tomográficos com contraste mostraram um aspecto de "buquê de flores" na fase excretora (Figura 2).
.webp>)
O paciente foi diagnosticado clinicamente com síndrome de Beckwith-Wiedemann quando criança, embora não tenha realizado exame genético. Seu avô foi diagnosticado com doença renal por meio de um exame de imagem. O
paciente possuía histórico de cirurgia de alongamento do lado direito devido à hiperplasia hemilateral esquerda.
A síndrome de Beckwith-Wiedemann é um distúrbio pediátrico raro de crescimento excessivo causado por alterações epigenéticas e/ou genéticas. Ela ocorre principalmente em casos isolados e familiares, representando 15% de todos os casos. As manifestações clínicas são altamente variáveis e incluem defeitos na parede abdominal, crescimento anormal como hemihiperplasia e/ou língua gigante, além de malformações com aumento de órgãos
internos.
A síndrome de Beckwith-Wiedemann é uma das causas do rim espongiomedular, que se apresenta comachados específicos na tomografia computadorizada, incluindo nefrocalcinose medular, dilatação cística e um padrão de estrias semelhantes a buquês de flores nas papilas renais.
Desfechos renais desfavoráveis, incluindo o desenvolvimento de DRCT, são relativamente raros. As complicações comuns do rim esponjoso medular incluem obstrução do trato urinário e infecção recorrente devido à nefrolitíase.
A hipercalciúria pode ser observada mesmo na presença de níveis séricos normais de cálcio, o que pode levar ao aumento da formação de cálculos urinários e infecções do trato urinário.
Mesmo na ausência de hupercalciúria foi iniciado prevenção com tratamento com aumento da ingestão de água, redução do consumo de sal, limitação da ingestão de oxalato e alcalinização da urina para prevenção de
cálculos.
Embora os rins espongiomedular geralmente tenham um bom prognóstico renal, devemos estar atentos à obstrução e à infecção do trato urinário, que podem causar danos renais persistentes.