Fale Comigo
Whatsapp

Imagens

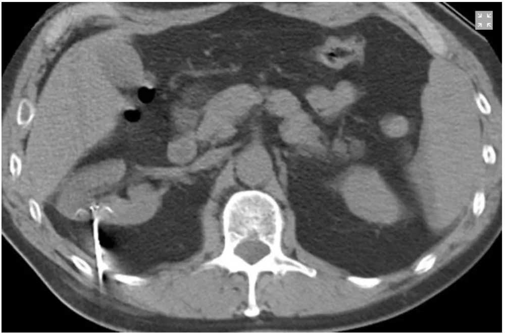
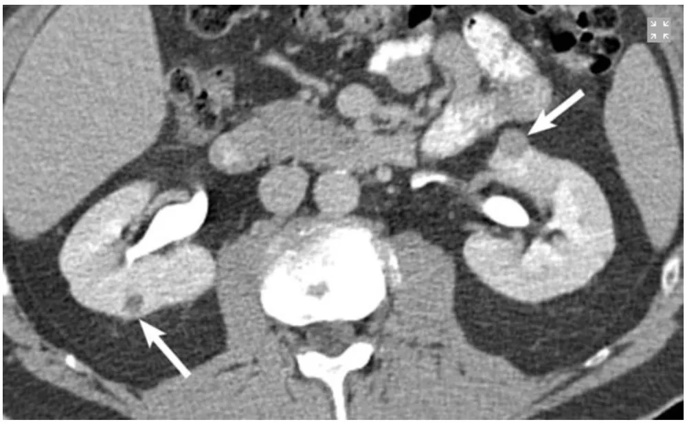
Múltiplos tumores renais

Valkercyo Feitosa

2024-06-25

Recomendação de posts Nefroupdates