O artigo ([disponível aqui](https://journals.lww.com/kidney360/fulltext/2024/07000/aki_in_a_patient_with_treated_hiv_infection.22.aspx)) apresenta o caso clínico de um homem de 55 anos com infecção por HIV previamente tratada, que desenvolveu insuficiência renal aguda (IRA) e proteinúria.
O paciente em questão foi diagnosticado com HIV dois anos antes, apresentando um quadro avançado da doença com contagem de CD4 de 6 células/mm³ e carga viral de 75.000 cópias/ml. No momento do diagnóstico de HIV tinha sido identificado uma extensa linfadenopatia retroperitoneal, realizado biópsia e realizado diagnóstico de adenopatia secundário à complexo Mycobacterium avium (MAC), sendo então tratatado com etambutol, claritromicina e rifambutina concomitante ao tratamento da TARV (tenofovir, emtricitabina-bictegravir).
Após 10 meses de início do tratamento da TARV o paciente foi diagnosticado com linfoma do sistema nervoso
central e tratado com metotrexato em altas doses, porém foi optado pela suspensão do metotrexato, neste momento foi observado uma melhora na contagem de CD4 para 351 células/mm³. O paciente apresentou recorrência de sintomas de febre, sudorese noturna e perda de peso, além disso foi observado elevação dos níveis de creatinina (Cr 1,0>1,2>2,2 mg/dL e proteinúria 1,2 g/dia). O paciente foi então submetido a biópsia renal

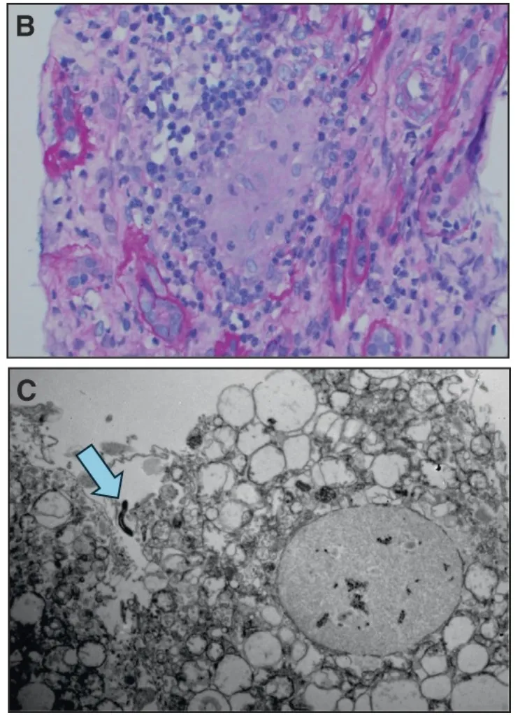
A biópsia renal revelou inflamação intersticial difusa com granulomas não caseosos, consistentes com nefrite intersticial granulomatosa. Diante do diagnóstico de nefrite intersticial granulomatosa devemos considerar etiologias como reação a drogas, malignidades hematológicas e doenças autoimunes como a sarcoidose.
(B) Granuloma intersticial não caseoso com formação de células gigantes associada (coloração com ácido periódico-Schiff, ampliação original (C) Micrografia eletrônica mostrando uma célula inflamatória intersticial contendo abundantes vacúolos intracitoplasmáticos e fagolisossomos e exibindo uma estrutura focal eletrodensa morfologicamente compatível com Mycobacterium (seta azul)
No caso apresentado, embora a coloração para bacilos ácido-resistentes não tenha identificado micobactérias de forma definitiva, a microscopia eletrônica mostrou estruturas compatíveis com micobactérias intracelulares dentro de células inflamatórias fagocíticas, sugerindo envolvimento renal por infecção micobacteriana disseminada. Esse quadro clínico foi caracterizado como síndrome inflamatória de reconstituição imune (IRIS), que ocorre frequentemente em pacientes com HIV durante a restauração imunológica, especialmente em áreas endêmicas para tuberculose.
O tratamento envolveu a reintrodução da terapia antimicobacteriana e o uso de glicocorticoides. O artigo destaca a importância de considerar a IRIS como um diagnóstico diferencial em pacientes com HIV que apresentam IRA após restauração imunológica. A IRIS associada a infecções micobacterianas pode levar a nefrite intersticial granulomatosa, necessitando de um manejo cuidadoso com terapia antimicrobiana e possivelmente glicocorticoides para controle da inflamação exacerbada.